Root Canal Treatments (Endodontics)

Endodontics is the mono-specialty which is involved in the assessment and management of diseases and disorders of the root canal system and the structures which it contains. Commonly, endodontic treatment is also known as root canal treatment and this may be necessary due to the nerves within a tooth dying, commonly due to extensive decay or trauma. In some cases root canal retreatment may be necessary due to failure of the initial root canal treatment. Fortunately success rates of initial and retreatments are similar, often allowing for ongoing retention of a person's own tooth.

I have a great deal of experience and a special interest in endodontics and have considerable experience in initial and endodontic retreatment as well as surgical endodontics. All endodontics is carried out under microscopic magnification using the current instrumentation and materials. Some  recent cases can be found below.

 

Case 1.

This young lady attended having had her lower right first molar root canal treated a number of years ago. She had begun to develop pain this tooth which had progressed to an abscess which had a significant impact her ability to eat and sleep. The root canal treatment was repeated, with all three canals in the tooth being fully accessed and cleaned. Rotary endodontics were employed to ensure efficient and complete instrumentation and the root canal system was obturated to full length with no voids or compromise. She had complete alleviation of symptoms after her first appointment and the root canal treatment was completed at the second appointment. With the success rates of root canal retreatment being comparable to initial treatment, if performed to a good standard, my hope is that you can keep your own teeth for an long as possible.

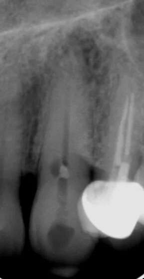
Case 2.

This young man was referred to me for root canal retreatment of the lower right first molar tooth as his dentist had planned to crown the tooth as it had an extensive filling in it. An x-ray of the tooth revealed that there was evidence of a piece of fractured instrument in one of the root canals and the root canal treatment was not ideal. As would be the standard of care, the referring dentist wished to try and optimise the root canal treatment before crowning the tooth. This gentleman was seen and the tooth was accessed. A small fragment of an instrument was retrieved from the canal and the root canal treatment was subsequently completed without complication, allowing this gentleman to have a crown placed and retain the tooth. As is often the case trying to retain ones own tooth is best.

Case 3.

This gentleman was see following a routine visit to his dentist. Routine x-rays revealed that a resorption defect had developed in one of his upper canine teeth. Such defects while rare, can occur due to trauma, and result in the body’s own cells breaking down the tooth, and ‘digesting it’. Fortunately this gentleman was not in pain, but following discussion with him, the defect was surgically accessed and cleaned out. The residual defect was filled. Due to the extensive nature of the defect, the nerve of the tooth had also died, and conventional root canal treatment was also necessary. While to prognosis of resorption defects is variable, well-planned surgical access and a meticulous approach can lead to ongoing retention of a functional tooth avoiding extraction and a more complex tooth replacement.

Back